
| Á¤ÀÇ |
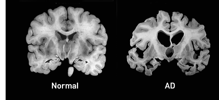
¾ËÃ÷ÇÏÀ̸Ӻ´Àº Ä¡¸Å¸¦ ÀÏÀ¸Å°´Â °¡Àå ÈçÇÑ ÅðÇ༺ ³úÁúȯ ¾ËÃ÷ÇÏÀ̸Ӻ´Àº ¸Å¿ì ¼¼È÷ ¹ßº´ÇÏ¿© Á¡ÁøÀûÀ¸·Î ÁøÇàµÇ´Â °æ°ú°¡ Ư¡. ¾ËÃ÷ÇÏÀ̸Ӻ´ÀÇ È£¹ß ¿¬·ÉÀº 65¼¼ ÀÌÈÄÀ̳ª µå¹°Áö¸¸ 40, 50´ë¿¡¼µµ ¹ß»ý |
|---|---|
| ¿øÀÎ |
Á¤È®ÇÑ ¹ßº´ ±âÀü°ú ¿øÀÎ ºÒ¸íÈ® ÇöÀç º£Å¸ ¾Æ¹Ð·ÎÀ̵å(beta-amyloid)¶ó´Â ÀÛÀº ´Ü¹éÁúÀÌ °úµµÇÏ°Ô ¸¸µé¾îÁ® ³ú¿¡ Ä§ÂøµÇ¸é¼ ³ú ¼¼Æ÷¿¡ À¯ÇØÇÑ ¿µÇâÀ» ÁÖ´Â °ÍÀÌ ¹ßº´ ÀÇ ÇÙ½É ±âÀüÀ¸·Î ¾Ë·ÁÁ® ÀÖÀ½ À¯ÀüÀûÀÎ ¿äÀÎÀÌ ¾à 40~50%¸¦ ¼³¸íÇÏ´Â °ÍÀ¸·Î º¸°í °¡Á··Â ȤÀº À¯ÀüÀû ¿äÀÎ ÀÌ¿Ü °í·ÉÀº ¾ËÃ÷ÇÏÀ̸Ӻ´ÀÇ ¹ßº´ À§ÇèÀ» Áõ°¡½ÃŰ´Â ÁÖ¿ä ¿äÀÎ |
| Áõ»ó |
±â¾ï·Â °¨Åð ¾ð¾î´É·Â ÀúÇÏ ½Ã°ø°£ÆÄ¾Ç´É·Â(Áö³²·Â)ÀÇ ÀúÇÏ ÆÇ´Ü·Â ¹× ÀÏ»ó»ýȰ¼öÇà´É·ÂÀÇ ÀúÇÏ Á¤½ÅÇൿÁõ»ó ½Åü Áõ»ó |
| Áø´Ü | ȯÀÚ¿¡ ´ëÇØ °¡Àå Àß ¾Ë°í ÀÖ´Â º¸È£ÀÚÀÇ º¸°í¸¦ ÅëÇÑ Á¤È®ÇÑ º´·Â ûÃë°¡ ¸Å¿ì Áß¿äÇÏ´Ù. ÀÇ»ç´Â ÀÌÀü¿¡ ºñÇØ ±â¾ï·ÂÀ» Æ÷ÇÔÇÑ ÀÎÁö ±â´ÉÀÇ º¯È°¡ ÀÖ´ÂÁö, ÀÖ´Ù¸é ¾ðÁ¦ºÎÅÍ ¾î¶°ÇÑ ¾ç»óÀ¸·Î ³ªÅ¸³µ´ÂÁö È®ÀÎ |
| Ä¡·á |
±Ùº»ÀûÀÎ Ä¡·á¹æ¹ýÀº ¾ÆÁ÷ ¾øÀ½ Áõ»óÀ» ¿ÏȽÃ۰í ÁøÇàÀ» Áö¿¬½Ãų ¼ö ÀÖ´Â ¾à¹°ÀÌ ÀÓ»óÇöÀå¿¡¼ »ç¿ëµÇ°í ÀÖ´Ù. ´ëÇ¥ÀûÀÎ ¾à¹°·Î ¾Æ¼¼Æ¿Äݸ° ºÐÇØÈ¿¼Ò ¾ïÁ¦Á¦ »ç¿ë Áߵ ÀÌ»óÀ¸·Î ÁøÇàµÈ ¾ËÃ÷ÇÏÀ̸Ӻ´¿¡¼´Â NMDA ¼ö¿ëü ±æÇ×Á¦°¡ »ç¿ë ºñ¾à¹°Ä¡·á ±â¹ýÀ¸·Î´Â ¼Õ»óµÈ ÀÎÁö ¿µ¿ªÀ» ÈÆ·Ã½ÃŰ°Å³ª, ¼Õ»óµÇÁö ¾ÊÀº ÀÎÁö ¿µ¿ªÀ» ±Ø´ëÈÇÏ¿© ¼Õ»óµÈ ÀÎÁö¿µ¿ªÀ» º¸¿ÏÇØÁÖ´Â ±â¾ï·Â ÈÆ·Ã,ÀÎÁöÀçȰġ·á, Çö½Ç Áö³²·Â ÈÆ·Ã µîÀÌ ¾Ë·ÁÁ® ÀÖÀ½ ¾à¹° ¹× ºñ¾à¹° Ä¡·áµéÀº Á¶±â Ä¡·á°¡ Áß¿äÇÏ¸ç °¡´ÉÇÑ »¡¸® Ä¡·áÇÒ¼ö·Ï Ä¡·á ¹ÝÀÀÀÌ ÁÁ´Ù. |
| °æ°ú/ÇÕº´Áõ |
¾ËÃ÷ÇÏÀ̸Ӻ´Àº ÀϹÝÀûÀ¸·Î 8~10³â¿¡ °ÉÃÄ ¼¼È÷ ÁøÇà ¸»±â Ä¡¸ÅÀÇ °æ¿ì ½Å°æÇÐÀû Áõ»ó°ú ±âŸ ½ÅüÀû ÇÕº´ÁõÀÌ µÇ¾î µ¶¸³ÀûÀÎ »ýȰÀÌ ºÒ°¡´ÉÇÏ¸ç ´ë¼Òº¯ ½Ç±Ý, ¿åâ, Æó·Å, ¿ä·Î °¨¿° µîÀÇ ÇÕº´ÁõÀ¸·Î »ç¸Á¿¡ À̸£°Ô µÈ´Ù. |
| ¿¹¹æ¹æ¹ý |
¾ËÃ÷ÇÏÀ̸Ӻ´Àº °Ç°ÇÑ »ýȰÀ» ÅëÇØ »ó´çºÎºÐ ¿¹¹æ °¡´ÉÇÔ. °íÇ÷¾Ð, ´ç´¢, ½ÉÀ庴, ³ôÀº ÄÝ·¹½ºÅ×·ÑÀ» Ä¡·á. °úÀ½, Èí¿¬À» ÇÏÁö ¾Ê´Â´Ù. ¿ì¿ïÁõÀ» Ä¡·á Áñ°Ì°Ô ÇÒ ¼ö ÀÖ´Â ÀÏÀ̳ª Ãë¹ÌȰµ¿À» Áö¼Ó ¸Ó¸® ºÎ»ó ¹æÁö ¾à¹° ³²¿ë±ÝÁö ȯ°æÀ̳ª »ýȰ¹æ½ÄÀ» ±Þ°Ý º¯È ±ÝÁö ÀǽÄÁÖ´Â µ¶¸³½É Ç×»óÀ» À§ÇØ ½º½º·Î ÆÇ´Ü ü·Â¿¡ ¸Â°Ô ÀÏÁÖÀÏ¿¡ 3ÀÏ ÀÌ»ó ÇÏ·ç 30ºÐ ÀÌ»ó ÀûÀýÇÑ ¿îµ¿ °Ç°ÇÑ ½ÄÀÌ »ýȰ ½À°üÈ |
| »ýȰ °¡À̵å |
±ÔÄ¢ÀûÀ¸·Î »ýȰ°ú ¾ÈÁ¤. ȯÀÚÀÇ Á¸¾ö¼º À¯Áöµî ȯÀÚÀÇ Á¤½ÅÀû, ½ÅüÀû °Ç°À» À¯ÁöÇϱâ À§ÇØ Áö¼ÓÀûÀÎ ÀÇ»çÀÇ Áø·á¿Í ÀûÀýÇÑ ½ÄÀ̸¦ À¯ÁöÇÏ°í ¿îµ¿À» ±ÇÀå ¾ð¾îÀûÀÎ ÀÇ»ç¼ÒÅ뺸´Ù ºñ¾ð¾îÀûÀÎ ÀÇ»ç¼ÒÅëÀÌ Áß¿äÇÒ ¼ö ÀÖÀ¸¸ç ¿øÈ°ÇÑ ÀÇ»ç¼ÒÅëÀ» À§ÇØ ³ë·Â |
| ½ÄÀÌ¿ä¹ý |
°Ç°¿¡ ÁÁÀº À½½ÄÀ» ¸Ô´Â ½À°üÀÌ ¾ËÃ÷ÇÏÀ̸Ӻ´¿¡ µµ¿òÀÌ µÉ ¼ö ÀÖÀ¸¸ç ¾ÈÀüÇÑ ½Ä»ýȰÀº ´ÙÀ½°ú °°´Ù. °úµµÇÑ À½½Ä ¼·Ã븦 ÇÇÇÑ´Ù. ÁÁÀº Áö¹æ(¿À¸Þ°¡ 3, DHA, EPA, ¸®³î·»»ê, ¸®¿Ã¸®ºêÀ¯)ÀÌ ¸¹ÀÌ µé¾î ÀÖ´Â ÇØ»ê¹°, µîǪ¸¥ »ý¼±, °ß°ú·ù, ¾Æ¸¶¾¾, ¿Ã¸®ºêÀ¯ µîÀ» ¼·ÃëÇϰí, ³ª»ÛÁö¹æ(¿À¸Þ°¡ 6, µ¿¹°¼º Æ÷ÈÁö¹æ, °æÈ ½Ä¹°¼º ±â¸§, ÀüÀÌ Áö¹æ»ê, ¾ßä ±â¸§)ÀÌ ¸¹Àº À°·ù, ¹öÅÍ, Ä¡Áî, ¸¶°¡¸°, ¸¶¿ä³×Áî, °¡°ø½Äǰ, ¿Á¼ö¼ö/È«È/ÇØ¹Ù¶ó±â¾¾ ±â¸§ µîÀ» ÇÇÇÑ´Ù. ºñŸ¹ÎÀ» ÀûÀýÈ÷ ¼·ÃëÇÑ´Ù. Ç×»êÈ ½Äǰ(ÀÚµÎ, °ÇÆ÷µµ, ºí·çº£¸®, µþ±â, ½Ã±ÝÄ¡, ÄÉÀÏ, ºê·ÎÄݸ®, ±Ù´ë µîÀÇ »öÀÌ Â£Àº °úÀϰú ä¼Ò)À» ¼·ÃëÇÑ´Ù. Áö³ªÄ£ Ä«ÆäÀÎ ¼·Ã븦 ÇÇÇÑ´Ù. ¹°À» ÃæºÐÈ÷ ¸¶½Å´Ù. |
| ´ºÆ®¶óÁ¨ Á¦Ç°Á¤º¸ |
½ÄǰÀǾàǰ¾ÈÀüó·ÎºÎÅÍ °Ç°±â´É½Äǰ ±â´É¼º ¿ø·á·Î °³º°ÀÎÁ¤À» ȹµæÇÑ
(ÁÖ)´ºÆ®¶óÁ¨ÀÇ Âü´ç±Í ÃßÃâ¹°Àº Ä¡¸ÅÀÇ ¿øÀÎÀÎ ½Å°æ¼¼Æ÷ ÅðÇàÀ» À¯¹ßÇÏ´Â
µ¶¼º´Ü¹éÁúÀÎ º£Å¸ ¾Æ¹Ð·ÎÀ̵尡 ³ú¿¡ ½×ÀÌ´Â °ÍÀ» ¾ïÁ¦ÇÏ´Â µ¿½Ã¿¡
Ç×»êÈ ¹× ½Å°æº¸È£ ÀÛ¿ë ±â´É ¿Ü ´ÙÀ½°ú °°Àº È¿´ÉÀÌ ÀÖ½À´Ï´Ù. -À¯Çع°Áú Á¶Àý·Î ÀÎÁö´É·Â À¯Áö -³úÀÇ ½Å°æÀü´Þ¹°Áú Á¶ÀýÀ» ÅëÇÏ¿© ÀúÇÏµÈ ÀÎÁö´É·Â °³¼± -³úÀÇ ½Å°æ¼¼Æ÷³ª ³ú±â´É¿¡ ÇÊ¿äÇÑ ¹°ÁúÀÇ ¼ººÐÀ¸·Î ³ú ±â´É À¯Áö¿¡ µµ¿ò ¢ß´ºÆ®¶óÁ¨ÀÌ ¸¸µç °Ç°±â´É½ÄǰÀº ³ú¼¼Æ÷ÀÇ ¼èÅð·Î ÀúÇÏµÈ ÀÎÁö±â´É °³¼±Á¦·Î Ä¡¸Å¿¹¹æ¿¡ Ź¿ùÇÑ È¿´ÉÀÌ ÀÖÀ½ÀÌ ±â¾ï·Â °¨Å𸦠ȣ¼ÒÇÏ´Â ´ë»óÀÚ 120¸íÀ» ÀÏÁ¤±â°£ ½ÃÇ躹¿ëÇÑ °á°ú ÀÎÁö±â´ÉÀÌ Å©°Ô ȸº¹ÇѰÍÀ¸·Î ÀÓ»ó½ÇÇèÀ¸·Î È®ÀεǾú½À´Ï´Ù |



























